EZ EZViwe

무릎 관절 맞춤 수술, AI가 돕는다

연세사랑병원, MRI 기반 정밀 분석으로 개인 맞춤형 수술 계획 수립

박선린 기자 기자  2026.01.16 14:37:43

기사프린트

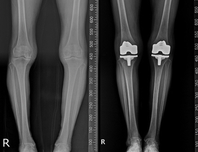
[프라임경제] 퇴행성관절염으로 무릎 통증과 기능 저하를 겪는 환자들에게 AI 기반 환자 맞춤형 인공관절 수술이 새로운 대안으로 주목받고 있다.


연세사랑병원은 MRI 및 영상 데이터를 활용한 '니비게이트' 플랫폼과 환자 맞춤형 수술 가이드(PSI)를 통해 수술 정확도를 높이고, 회복 속도와 장기 안정성을 개선하고 있다고 16일 밝혔다.

퇴행성관절염은 관절을 보호하는 연골이 점차 닳아 없어지면서 통증과 변형을 유발하는 대표적인 퇴행성 질환으로, 주로 무릎 관절에서 많이 발생하며, 초기에는 계단을 오르내릴 때 통증이나 뻣뻣함으로 시작해 점차 보행 자체가 어려워지는 것이 특징이다. 

특히 증상이 진행되면 통증으로 인해 일상적인 걷기, 앉았다 일어서기, 장시간 외출 등이 제한되며, 삶의 질 전반에 큰 영향을 미친다. 더욱이 약물치료나 주사치료로 증상 조절이 어려운 말기 퇴행성관절염의 경우 인공관절 수술이 필요하다.

이 가운데 인공관절 수술의 정확도와 환자 만족도를 높이기 위해 AI(인공지능) 기반 환자 맞춤형 수술 플랫폼 '니비게이트(KNEEVIGATE)'를 활용한 인공관절 치환술이 주목받고 있다. 

연세사랑병원에 따르면 니비게이트는 수술 전 환자의 MRI 및 영상 데이터를 기반으로 무릎 관절의 정렬, 뼈의 형태, 변형 정도를 정밀 분석해 수술 계획을 수립하는 플랫폼이다.

니비게이트 인공관절 수술의 핵심은 PSI(Patient Specific Instrument, 환자 맞춤형 수술 가이드)의 활용이다. PSI는 환자 개인의 해부학적 특성을 반영해 제작된 맞춤형 절삭 가이드로, 수술 중 뼈를 절삭하는 위치와 각도를 보다 정확하게 유도하는 역할을 한다. 이를 통해 기존 획일적인 수술 방식에서 벗어나 환자 개개인에 맞춘 정밀한 인공관절 삽입이 가능해진다.

고용곤 연세사랑병원장은 "퇴행성 관절염 환자는 같은 진단명이라도 관절 변형의 정도와 뼈의 형태가 모두 다르기 때문에 환자 맞춤형 수술이 중요하다"며 "니비게이트 플랫폼과 PSI를 활용한 인공관절 수술은 환자의 해부학적 특성을 정밀하게 반영해 보다 정확하고 체계적인 수술을 가능하게 하는 것이 특징"이라고 말했다.

이어 "인공관절 수술은 단순히 통증을 줄이는 것을 넘어, 환자가 다시 일상으로 복귀할 수 있도록 돕는 치료"라며 "앞으로도 수술 정확도와 안전성을 높일 수 있는 의료 기술을 지속적으로 도입해 환자 중심의 치료를 이어가겠다"고 덧붙였다.